Γεώργιος Παναγόπουλος MD | Ορθοπαιδικός Χειρουργός
Κάταγμα Ποδοκνημικής

Περιεχόμενα
Τι είναι το κάταγμα ποδοκνημικής;
Συχνά στην καθομιλουμένη λέμε ότι απλά σπάσαμε τον αστράγαλό μας (σπάσιμο αστραγάλου), ενώ στην πραγματικότητα έχουμε υποστεί κάταγμα ποδοκνημικής (το κάταγμα αστραγάλου είναι διαφορετική οντότητα). Τα κατάγματα της ποδοκνημικής είναι από τα πιο συνηθισμένα κατάγματα που καλείται να αντιμετωπίσει ο ορθοπαιδικός χειρουργός στην καριέρα του. Τα κατάγματα αυτά είναι γνωστά και ως κατάγματα σφυρών (malleoli).
Ανατομία
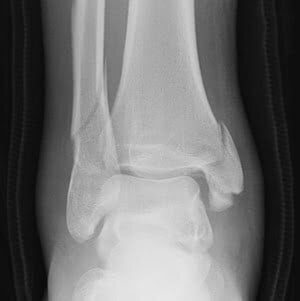
H άρθρωση της ποδοκνημικής αποτελείται από 3 οστά: την κνήμη, την περόνη και τον αστράγαλο. Τα οστά αυτά συγκρατούνται μεταξύ τους με μια σειρά από ισχυρούς συνδέσμους, με σημαντικότερους την «συνδέσμωση» και τον δελτοειδή σύνδεσμο. Το κάτω πέρας της κνήμης και της περόνης ονομάζονται έσω και έξω σφυρό, αντίστοιχα. Το οπίσθιο τμήμα του κάτω πέρατος της κνήμης ονομάζεται οπίσθιο σφυρό. Αυτές είναι και οι δομές που υφίστανται συνηθέστερα κατάγματα. Τα κατάγματα αυτά μπορεί να είναι μεμονωμένα, πχ μεμονωμένο κάταγμα έσω σφυρού, ή κάταγμα έξω σφυρού, ή σύνθετα, πχ αμφισφύριο κάταγμα ή τρισφύριο κάταγμα. Μπορεί επίσης να συνοδεύονται από τραυματισμούς των συνδέσμων.


Κάταγμα Ποδοκνημικής: Αίτια
Tα κατάγματα ποδοκνημικής συχνά οφείλονται σε κάποιο στραβοπάτημα στο δρόμο, ή σε παραπάτημα κατεβαίνοντας κάποια σκάλα, ή σε στροφική κάκωση κατά τη διάρκεια αθλητικών δραστηριοτήτων. Τα κατάγματα αυτά μπορεί να προκληθούν, όμως, και με άμεση πλήξη στα πλαίσια κακώσεων υψηλής ενέργειας, όπως είναι τα τροχαία ατυχήματα.
Οι παράγοντες επικινδυνότητας για κάταγμα ποδοκνημικής περιλαμβάνουν:
- Αθλήματα που προκαλούν εφαρμογή σημαντικών δυνάμεων στην άρθρωση, όπως το ποδόσφαιρο, basket, κλασική γυμναστική.
- Η χρήση λάθος τεχνικής ή η χρήση κακού ή ακατάλληλου εξοπλισμού.
- Περιστασιακή έντονη αθλητική δραστηριότητα – «αθλητής του ΣουΚου»
- Παθήσεις που μειώνουν τη πυκνότητα των οστών, όπως η οστεοπόρωση.
- Το κάπνισμα.
Κάταγμα Ποδοκνημικής: Συμπτώματα
Τα συμπτώματα του κατάγματος ποδοκνημικής περιλαμβάνουν:
- Έντονο πόνο
- Πρήξιμο και εκχύμωση της άρθρωσης
- Δυσκολία στο περπάτημα ή πλήρης αδυναμία φόρτισης
- Εμφανής παραμόρφωση εάν η άρθρωση έχει εξαρθρωθεί
- Τραύμα με έκθεση του οστού (ανοικτό κάταγμα)
Κάταγμα Ποδοκνημικής: Διάγνωση
Ο ιατρός θα πάρει αναλυτικό ιστορικό και θα σας εξετάσει προσεκτικά, εστιάζοντας στη νευραγγειακή σας λειτουργία, αλλά και με ευαισθησία, αποφεύγοντας να σας προκαλέσει περαιτέρω πόνο. Αν η άρθρωση έχει εξαρθρωθεί, μπορεί να χρειαστεί ανάταξη υπό ελαφρά μέθη, προκειμένου τα βελτιωθεί η θέση της ποδοκνημικής. Αυτό βοηθάει ιδιαίτερα στην αποφυγή του οιδήματος (πρήξιμο). Μία επαναληπτική ακτινογραφία μπορεί να χρειαστεί για την επιβεβαίωση της αποδεκτής θέσης του κατάγματος. Μία ακτινογραφία σε φόρτιση πολλές φορές χρειάζεται για την επιβεβαίωση της σταθερότητας απαρεκτόπιστων ή μεμονωμένων καταγμάτων. Σε σοβαρότερες περιπτώσεις, όπου ο ιατρός εκτιμά ότι είναι πιθανόν να χρειαστεί χειρουργείο, μπορεί να σας παραπέμψει για αξονική τομογραφία (CT), στα πλαίσια προεγχειρητικού σχεδιασμού.
Κάταγμα Ποδοκνημικής: Θεραπεία
Η θεραπεία των καταγμάτων της ποδοκνημικής άρθρωσης ποικίλει ανάλογα με το είδος και τη σταθερότητα του κατάγματος. Μεμονωμένα ή ελάχιστα παρεκτοπισμένα κατάγματα είναι συνήθως σταθερά και μπορούν να αντιμετωπιστούν με έναν νάρθηκα ή με μία μπότα βάδισης για μερικές εβδομάδες. Σύνθετα κατάγματα (αμφισφύρια ή τρισφύρια), ή κατάγματα με συνοδό συνδεσμική βλάβη, είναι συχνά ασταθή και μπορεί να χρειαστούν χειρουργείο.


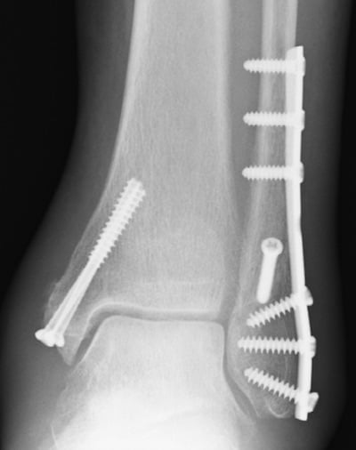
Το χειρουργείο γίνεται συνήθως με γενική +/- περιοχική αναισθησία και περιλαμβάνει τοποθέτηση εμφυτευμάτων, όπως πλάκες, βίδες, ήλους, κλπ. Ο ασθενής παραμένει σε νάρθηκα για 2 εβδομάδες, μέχρι την πρώτη μετεγχειρητική επίσκεψη, όπου και γίνεται έλεγχος του τραύματος και τυχόν αφαίρεση ραμμάτων. Το άκρο τοποθετείται σε ειδική μπότα βάδισης. Μπορεί να χρειαστείτε πατερίτσες για κάποιο διάστημα. Ο ιατρός και ο φυσικοθεραπευτής θα δημιουργήσουν ένα εξατομικευμένο πρόγραμμα αποκατάστασης για την περίπτωσή σας. Σε ορισμένες περιπτώσεις, είναι προτιμότερο το χειρουργείο να πραγματοποιείται όψιμα, αφού υποχωρήσει το έντονο οίδημα της περιοχής. Σε εξαιρετικές περιπτώσεις, το χειρουργείο γίνεται σε 2 στάδια, με αρχική τοποθέτηση εξωτερικής οστεοσύνθεσης και στη συνέχεια τροποποίηση σε εσωτερική οστεοσύνθεση.
Τα περισσότερα κατάγματα ποδοκνημικής επουλώνονται ομαλά και ο ασθενής επιστρέφει γρήγορα στις καθημερινές του δραστηριότητες. Σε βαριές περιπτώσεις, ακόμα και μετά την ενδεδειγμένη θεραπεία, μπορεί να εμφανιστεί μετα-τραυματική αρθρίτιδα και δυσκαμψία.
O κ. Παναγόπουλος έχει εκτεταμένη πείρα στη χειρουργική του τραύματος και θα συζητήσει μαζί σας αναλυτικά κατά την επίσκεψή σας στο ιατρείο.
FAQ – Συχνές Ερωτήσεις
Τι είναι το κάταγμα ποδοκνημικής;
Συχνά στην καθομιλουμένη λέμε ότι απλά σπάσαμε τον αστράγαλό μας (σπάσιμο αστραγάλου), ενώ στην πραγματικότητα έχουμε υποστεί κάταγμα ποδοκνημικής.
Τι είναι τα σφυρά;
Το κάτω πέρας της κνήμης και της περόνης ονομάζονται έσω και έξω σφυρό, αντίστοιχα. Το οπίσθιο τμήμα του κάτω πέρατος της κνήμης ονομάζεται οπίσθιο σφυρό.
Ποιοι είναι οι τύποι καταγμάτων;
Τα κατάγματα αυτά μπορεί να είναι μεμονωμένα, πχ μεμονωμένο κάταγμα έσω σφυρού, ή κάταγμα έξω σφυρού, ή σύνθετα, πχ αμφισφύριο κάταγμα ή τρισφύριο κάταγμα.
Ποιος είναι ο μηχανισμός;
Tα κατάγματα ποδοκνημικής συχνά οφείλονται σε κάποιο στραβοπάτημα στο δρόμο, ή σε παραπάτημα κατεβαίνοντας κάποια σκάλα, ή σε στροφική κάκωση κατά τη διάρκεια αθλητικών δραστηριοτήτων.
Είναι πάντα απαραίτητο το χειρουργείο;
Όχι. Μεμονωμένα ή ελάχιστα παρεκτοπισμένα κατάγματα είναι συνήθως σταθερά και μπορούν να αντιμετωπιστούν με έναν νάρθηκα ή με μία μπότα βάδισης για μερικές εβδομάδες.
Πως θα παρακολουθήσουμε το κάταγμα;
Ο ιατρός θα σας στείλει για μια ακτινογραφία σε φόρτιση μετά από μία βδομάδα για την επιβεβαίωση της σταθερότητας του κατάγματος.
Πότε χρειάζομαι χειρουργείο;
Σύνθετα κατάγματα (αμφισφύρια ή τρισφύρια), ή κατάγματα με συνοδό συνδεσμική βλάβη, είναι συχνά ασταθή και χρειάζονται χειρουργείο.
Χρειάζεται δεύτερο χειρουργείο για να βγάλω τα υλικά;
Όχι απαραίτητα, εκτός αν τα υλικά σας προκαλούν ενόχληση και το επιθυμείτε εσείς.
Βρείτε μας
Κλείστε ραντεβού σήμερα με τον κ. Παναγόπουλο, προκειμένου να λάβετε εξειδικευμένη φροντίδα για το πρόβλημά σας.
