Γεώργιος Παναγόπουλος MD | Ορθοπαιδικός Χειρουργός
Αρθροπλαστική Αγκώνα

Περιεχόμενα
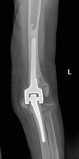
Tι είναι η αρθροπλαστική αγκώνα;
Η αρθροπλαστική αγκώνα είναι η χειρουργική επέμβαση που περιλαμβάνει την αντικατάσταση των φθαρμένων επιφανειών του αγκώνα με μεταλλικά εμφυτεύματα. Υπάρχουν 2 κύρια είδη αρθροπλαστικής αγκώνα: η ολική αρθροπλαστική αγκώνα (ΤΕΑ, ή total elbow arthroplasty) και η ημιαρθροπλαστική. Στην ολική αρθροπλαστική αντικαθίστανται και οι δύο αρθρικές επιφάνειες με μεταλλικές προθέσεις που αρθρώνονται μεταξύ τους. Χρησιμοποιείται κυρίως στην οστεοαρθρίτιδα που συνήθως προκαλεί την φθορά και των 2 αρθρικών επιφανειών. Στην ημιαρθροπλαστική (“hemi”), αντικαθίσταται με πρόθεση μόνο η μία από τις αρθρικές επιφάνειες αυτή του βραχιονίου. Η ημιαρθροπλαστική χρησιμοποιείται κυρίως σε πολύ περιφερικά κατάγματα του περιφερικού βραχιονίου, που δεν δύνανται να επιδιορθωθούν με εσωτερική οστεοσύνθεση.


Ποιες παθήσεις αντιμετωπίζονται με αρθροπλαστική αγκώνα;
Η αρθροπλαστική αγκώνα είναι μια χειρουργική επέμβαση που πραγματοποιείται όταν ο αγκώνας έχει χάσει τη λειτουργικότητά του, σε βαθμό που να δυσχεραίνει σημαντικά την εκτέλεση των καθημερινών μας δραστηριοτήτων, και η συντηρητική θεραπεία έχει αποτύχει. Συνήθως αυτό είναι αποτέλεσμα της φθοράς των αρθρικών επιφανειών του αγκώνα με το πέρασμα του χρόνου, όπως στην περίπτωση της αρθρίτιδας. Πιο αναλυτικά, οι ενδείξεις της αρθροπλαστικής αγκώνα περιλαμβάνουν τις παρακάτω παθήσεις:
- Οστεοαρθρίτιδα
- Ρευματοειδής αρθρίτιδα
- Άλλες φλεγμονώδεις αρθροπάθειες
- Μετα-τραυματική αρθρίτιδα
- Κατάγματα περιφερικού βραχιονίου, σε περίπτωση μεγάλης συντριβής ή σε πολύ περιφερικά κατάγματα, που δεν δύνανται να αντιμετωπιστούν με οστεοσύνθεση.
Πριν το χειρουργείο – προεγχειρητικός έλεγχος
Ο ασθενής θα ενημερωθεί πριν από το χειρουργείο για την απαιτούμενη χειρουργική θεραπεία και την επακόλουθη αποκατάσταση. Ο ασθενής θα υποβληθεί από τον αναισθησιολόγο σε προεγχειρητικό έλεγχο. Εκτός από αναλυτικό ιστορικό και κλινική εξέταση, ο προεγχειρητικός έλεγχος συνήθως περιλαμβάνει απλές αιματολογικές εξετάσεις, ακτινογραφία θώρακος και καρδιολογική εκτίμηση. Ο αναισθησιολόγος θα δώσει τις απαραίτητες οδηγίες στον ασθενή σχετικά με τη λήψη ή μη φαρμάκων προεγχειρητικά (κάποια φάρμακα, ιδίως αντιπηκτικά, ενδέχεται να χρειαστούν ολιγοήμερη διακοπή πριν το χειρουργείο) καθώς και για το από πότε πρέπει ο ασθενής να παραμείνει νηστικός τη μέρα πριν το χειρουργείο (συνήθως τουλάχιστον 6 ώρες πριν το χειρουργείο). O χειρουργός, αν χρειαστεί, θα σας παραπέμψει για αξονική τομογραφία του αγκώνα, στα πλαίσια του προεγχειρητικού σχεδιασμού.
Εισαγωγή στο νοσοκομείο – αναισθησία
Ο ασθενής εισάγεται στο νοσοκομείο την ημέρα του χειρουργείου. Η επέμβαση πραγματοποιείται συνήθως υπό γενική αναισθησία +/- περιοχική αναισθησία (διασκαλινικό block). Το πλεονέκτημα της περιοχικής αναισθησίας είναι ότι παρέχει εξαιρετική μετεγχειρητική αναλγησία, με ελάχιστο μετεγχειρητικό πόνο. Η αρθροπλαστική αγκώνα περιλαμβάνει συνήθως νοσηλεία 1-2 ημερών.
Τι συμβαίνει κατά τη διάρκεια του χειρουργείου;
Το χειρουργείο γίνεται σε πλάγια ή ύπτια θέση. Ο χειρουργός πραγματοποιεί μία τομή στο πίσω μέρος του αγκώνα και στη συνέχεια βρίσκει και προστατεύει το ωλένιο νεύρο. Οι φθαρμένες αρθρικές επιφάνειες κόβονται με ειδικούς οδηγούς και οι προθέσεις στερεώνονται με τη βοήθεια τσιμέντου, το οποίο σκληραίνει σε περίπου 10 λεπτά. Το τραύμα κλείνεται κατά στρώματα και εφαρμόζεται μία χαλαρή περίδεση. Το άκρο τοποθετείται σε μία ανάρτηση.


Μετά το χειρουργείο – αποκατάσταση
Για ένα καλό μετεγχειρητικό αποτέλεσμα, είναι εξαιρετικά σημαντική η πρώιμη κινητοποίηση. Ο χειρουργός και ο φυσικοθεραπευτής θα συντάξουν για εσάς ένα εξατομικευμένο πρόγραμμα αποκατάστασης με επίσημες συνεδρίες, αλλά και ασκήσεις στο σπίτι. Η αρθροπλαστική αγκώνα είναι τεχνικά δύσκολη και πρέπει να πραγματοποιείται μόνο από εξειδικευμένο χειρουργό άνω άκρου. Επίσης είναι μια επέμβαση που δυνητικά μπορεί να έχει επιπλοκές, όπως λοίμωξη, χαλάρωση, νευρική βλάβη ή περιπροθετικά κατάγματα. Για τον λόγο αυτό, η αρθροπλαστική αγκώνα θα πρέπει να πραγματοποιείται μόνο από εξειδικευμένο ορθοπαιδικό χειρουργό με μεγάλο όγκο περιστατικών. Ο κ. Παναγόπουλος έχει εκτεταμένη πείρα στη χειρουργική του αγκώνα και θα συζητήσει μαζί σας αναλυτικά για την επέμβαση κατά την επίσκεψή σας στο ιατρείο.
FAQ – Συχνές Ερωτήσεις
Tι είναι η αρθροπλαστική αγκώνα;
Η αρθροπλαστική αγκώνα είναι η χειρουργική επέμβαση που περιλαμβάνει την αντικατάσταση των φθαρμένων επιφανειών του αγκώνα με μεταλλικά εμφυτεύματα.
Ποια είδη υπάρχουν;
Υπάρχουν 2 κύρια είδη αρθροπλαστικής αγκώνα: η ολική αρθροπλαστική αγκώνα (ΤΕΑ, ή total elbow arthroplasty) και η ημιαρθροπλαστική.
Ποιες είναι οι ενδείξεις;
– Οστεοαρθρίτιδα
– Ρευματοειδής αρθρίτιδα
– Άλλες φλεγμονώδεις αρθροπάθειες
– Μετα-τραυματική αρθρίτιδα
– Κατάγματα περιφερικού βραχιονίου, σε περίπτωση μεγάλης συντριβής ή σε πολύ περιφερικά κατάγματα.
Βρείτε μας
Κλείστε ραντεβού σήμερα με τον κ. Παναγόπουλο, προκειμένου να λάβετε εξειδικευμένη φροντίδα για το πρόβλημά σας.
