Georgios Panagopoulos MD | Orthopaedic Surgeon
Complex elbow fractures

Table of contents
What is a complex elbow fracture?
The elbow is a complex joint that connects your arm to your forearm and hand. After an injury, it is important to restore elbow mobility and function, as the elbow is responsible for flexion and extension (bending and straightening your elbow), as well as pronation and supination (rotating your forearm and hand). Complex elbow fracture dislocations involve fractures to more than one bones of the elbow, associated with a dislocation. These are among the most challenging to treat elbow injuries and may cause significant dysfunction and stiffness.
Anatomy
The elbow joint consists of 3 bones: the humerus (arm bone), ulna and radius (forearm bones). These bones are held together by multiple muscles, tendons and ligaments and work in unison in a hinge joint that bends your elbow, but also controls rotation of your forearm and hand. A complex elbow injury is often times referred to as the “terrible triad” of the elbow. This type of injury includes an elbow dislocation, a radial head fracture and a coronoid process fracture, together with various degrees of associated ligamentous injury.
Causes
Elbow fracture-dislocations often happen after a fall on the outstretched hand. Patients will present with the following symptoms:
- Immediate pain
- Severe bruising and swelling of the elbow
- Inability to straighten or bend the arm
- Numbness and tingling of the hand and fingers, if one of the nerves is bruised.
How is a complex elbow fracture diagnosed?
Complex elbow fractures are usually suspected based on the mechanism of injury and associated symptoms and confirmed by simple x-rays. Your doctor may request a CT scan of the elbow, to aid with preoperative planning.
How is a complex elbow fracture treated?
An elbow fracture-dislocation should get treatment as soon as possible. A dislocated elbow should be set back in place under sedation. This usually happens in the emergency department. A repeat x-ray will confirm that your elbow is in a congruent – acceptable position. After this happen, you will be typically referred to an orthopaedic surgeon for definitive treatment. Surgery usually involves the following:
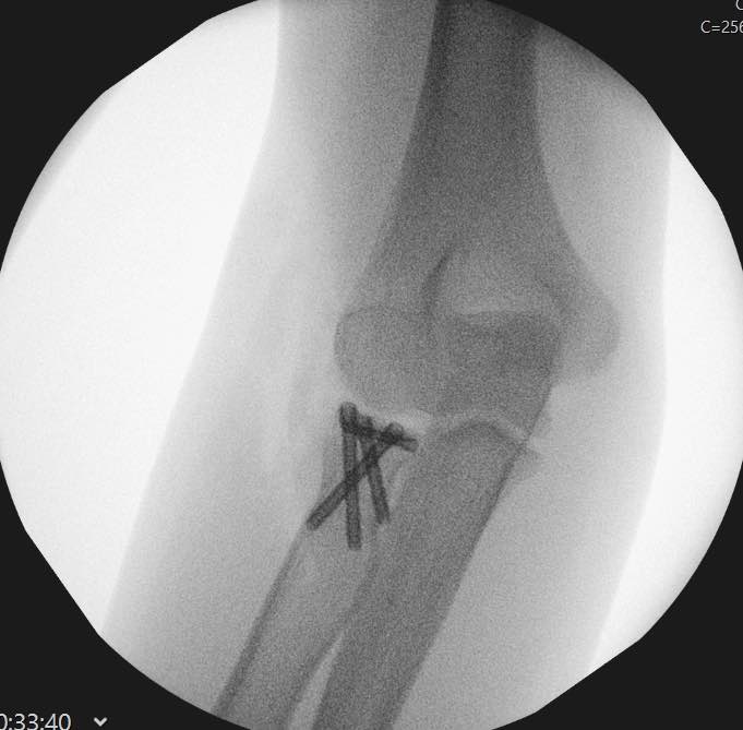
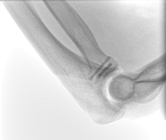
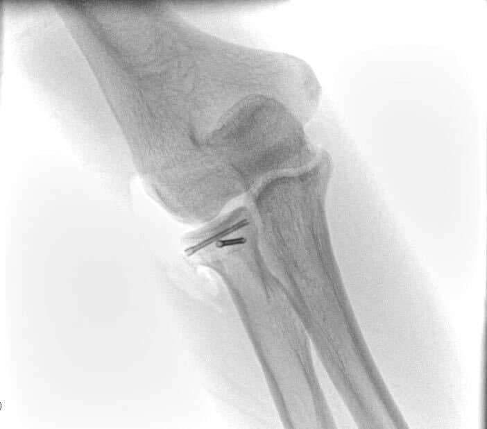
- Fixation or arthroplasty of the radial head
- Fixation or suture fixation of the coronoid or anterior capsule
- Distal humerus fracture fixation, if present
- Repair of torn ligaments (LUCL +/- MCL) with suture anchors
- Olecranon fracture fixation, if present






Most terrible triad injuries require surgical management to restore the functionality of your elbow. Surgery involves addressing all the injury components in your elbow. These may include fixation or replacement of the radial head, fixation or suturing of the coronoid and repair of the avulsed ligaments of your elbow.
After surgery, your will generally have a bulky dressing for a few days. Your doctor and physiotherapist will create an individualized rehabilitation plan for you. The aim of the treatment is to get your elbow moving as soon as possible. This is crucial, as the elbow joint is notorious for getting very stiff very quickly. Problems after this surgery may include elbow stiffness, elbow instability (repeat dislocations), or heterotopic ossification (new bone formation). It is important to follow your doctor’s orders in order to avoid all these problems.
Recovery
Complex elbow fracture-dislocations can be pretty spicy and difficult to fix, and they should be treated by an experienced elbow surgeon. Dr Panagopoulos has extensive surgical experience in complex elbow surgery and will discuss in depth the procedure with you during your visit in the office.
FAQs - Frequently Asked Questions
Why are elbow fractures hard to manage?
Elbow fracture - dislocations are complex injuries, that need careful treatment in order to achieve return to previous levels of activity.
What are the common injuries around the elbow?
Radial head fracture, coronoid fracture, olecranon fracture, elbow fracture - dislocation, distal humerus fracture, or a combination of the above.
When does the elbow become stiff?
– Very commonly, either before or after surgery
– If surgery is not done properly
– If the elbow is immobilised for a long time after surgery
Find us
Book an appointment with us today
